APEMOL - ASSOCIAÇÃO PERNAMBUCANA DE MEDICINA E ODONTOLOGIA LEGAL   

FORENSE 2000

XVI Congresso Brasileiro de Medicina Legal
VII Congresso Brasileiro de Ética Médica
V Congresso Brasileiro de Odontologia Legal
II Congresso Luso-brasileiro de Medicina Legal
I Congresso Brasileiro de Direito Médico

ANAIS FORENSE 2000

Comissão | Mensagem | Programa | Fotos

Medicina Legal | Odontologia Legal | Direito Médico

IBEMOL - Códigos | Dec. Direitos | Forense98 | CID10 | IML | Prontuário | Biosseg. | I. Digital | Soft. | Artigos   

 

  Validade Jurídica das Imagens Digitais como Prova Objetiva em Odontologia
(Ensaio de Finalidade Didática - Tema Controverso a Ser Melhor Regulamentado)

Malthus Fonseca Galvão - Prof. FOPLAC/UNIPLAC - Mestre em Odontologia Legal FOP/UNICAMP
Gilberto Paiva de Carvalho -
Monitor de Odontologia Legal da FOPLAC/UNIPLAC
Eduardo Daruge -
Coordenador do Mestrado e Doutorado da FOP/UNICAMP



Layout do Painel Impresso - 145x95cm

 

Validade Jurídica das Imagens Digitais como Prova Objetiva em Odontologia

                As imagens e os recursos computacionais modernos constituem recursos valiosos na produção dos elementos constituintes do prontuário odontológico.
                Os autores exemplificam, neste trabalho, de forma gráfica, a possibilidade de adulteração de imagens digitais, obtendo "clones" com características completamente diversas, quase sem possibilidade de se definir qual delas é a original. Diversos recursos de edição computadorizada de imagens, que permitem alterações imperceptíveis na impressão ou visualização em monitor, são demonstrados. Imagens com grande resolução podem ser periciadas, comprovando-se eventuais adulterações.
                  Esta metodologia comprova a possibilidade de contestação da validade jurídica das imagens em meio magnético como prova objetiva, e sugerem a recomendação de   recursos adicionais que garantam a capacidade de prova em juízo, o que poderia ser feito através da simples autenticação das mesmas,  com data e assinatura do paciente após sua impressão. Estudos realizados pelo Dr. Cléber Bidegain Pereira, publicados em www.cleber.com.br, confirmam esta necessidade.
                Um paralelo entre as imagens digitais ou digitalizadas e as imagens fotográficas convencionais, química baseada em emulsão de halogenetos, é traçado, ressaltando a possibilidade de utilização simultânea das mesmas, mantendo a capacidade probatória das imagens "químicas" e a facilidade de armazenamento, indexação e transmissão das imagens digitais.
                Sugerem ainda a criação de cartórios virtuais "em espelho" para autenticação das imagens digitais através da "internet".

início

Edição com Montagem Grosseira de Imagens

início
 
Imagens sem edição


início

Logotipo aplicado na camiseta


início

Vestígios da Edição Periciáveis
Deformação e "Wash" do Panfleto

 


Qual destas imagens não foi editada?
início

RX superior esquerdo


início

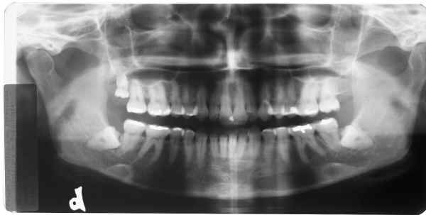
Rx superior direito


início

Rx inferior esquerdo


início

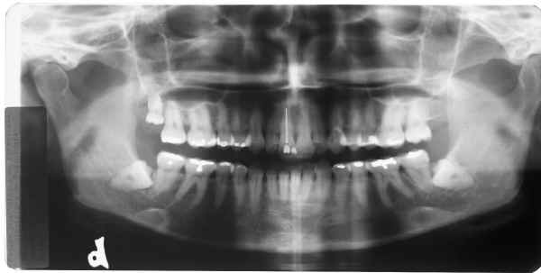
Rx inferior direito

 


Qual destes lados não foi editado?
início


início

Responda, justificando, e receba a resposta com as fotos originais!
Matematicamente a probabilidade de erro na 1ª resposta é igual a 75% = 3/4 x 100
Matematicamente a probabilidade de erro na 2ª resposta é igual a 50% = 1/2 x 100
Não aposte sua prova jurídica nisto, responda e verás!


Estamos oferecendo uma BMW, a escolher entre as abaixo, aos acertadores!

(apenas a imagem será enviada)

Resposta da Primeira Questão

Radiografia 1
Radiografia 2
Radiografia 3
Radiografia 4

Resposta da Segunda Questão

Imagem 1
Imagem 2

 

Desistir e ver o gabarito

Entendeu?


 
     

Instituto Brasileiro de Ensino e Pesquisa em Odontologia e Medicina Legal
®

  Instituto Brasileiro de Ensino e Pesquisa em Medicina e Odontologia Legal
Direitos Reservados 1997-2001 - Leia as Condições Legais - Consultores

mande um email com suas críticas e sugestões

 

Síntese do Site www.ibemol.com.br preparada para o CD-ROM FORENSE 2000  - APEMOL & IBEMOL